

This is one of Dr. Desai's favorite makeovers for the following reason. The first reaction from this patient when Dr. Desai completed the work was "I am so sad now...................I should have had this done 10 years ago!!!"
Dental Cosmetic work can be expensive, but why wait for years to get it when you can do it Interest Free in our office and enjoy the new confident smile for years more!!
Patient came to Dr. Desai requesting "Doc, I am getting married in 2 weeks, can do something about my teeth?"
Using advanced technologies, we were able to get this wonderful young patient the smile of her dreams and memories for life!!




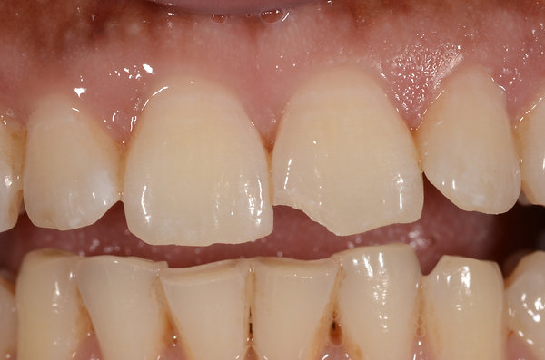
Tooth is NOT one color. Many "fillings" are done using monochromatic color and the appearance is usually unsightly.
A true cosmetic bonding involves adding multiple layers of different colors of teeth and tints to make the bonding lifelike. Even a dentist can be fooled by the appearance of such bonding. This particular case was done when a emergency patient showed up with a broken tooth after his daughter accidentally hit him a cell phone. Needless to say, the patient went home happy as if nothing happened!

